Терапия

В нашей клинике мы предлагаем комплексные услуги из всех областей стоматологии. Мы используем современное оборудование и высококачественные инновационные технологии.

Перечень услуг:

  • Профессиональное отбеливание зубов аппаратом "Zoom" (зона улыбки)  
  • Система отбеливания Amazing White
  • Система отбеливания Amazing White (Экспресс)
  • Изготовление каппы для отбеливания (1 челюсть)
  • Фиксация Skyce (1 зуб)
  • Эстетическая реставрация (1 зуб)
  • Снятие зубных отложений в области 1-го зуба
  • Комплексная профессиональная профилактическая гигиена полости рта
  • Ультразвуковая чистка зубов, чистка по системе Air Flow         
  • Профессиональная гигиена зубов с последующей шлифовкой и полировкой при брекет системах (1 челюсть)
  • Гигиеническая чистка перед операцией по имплантации
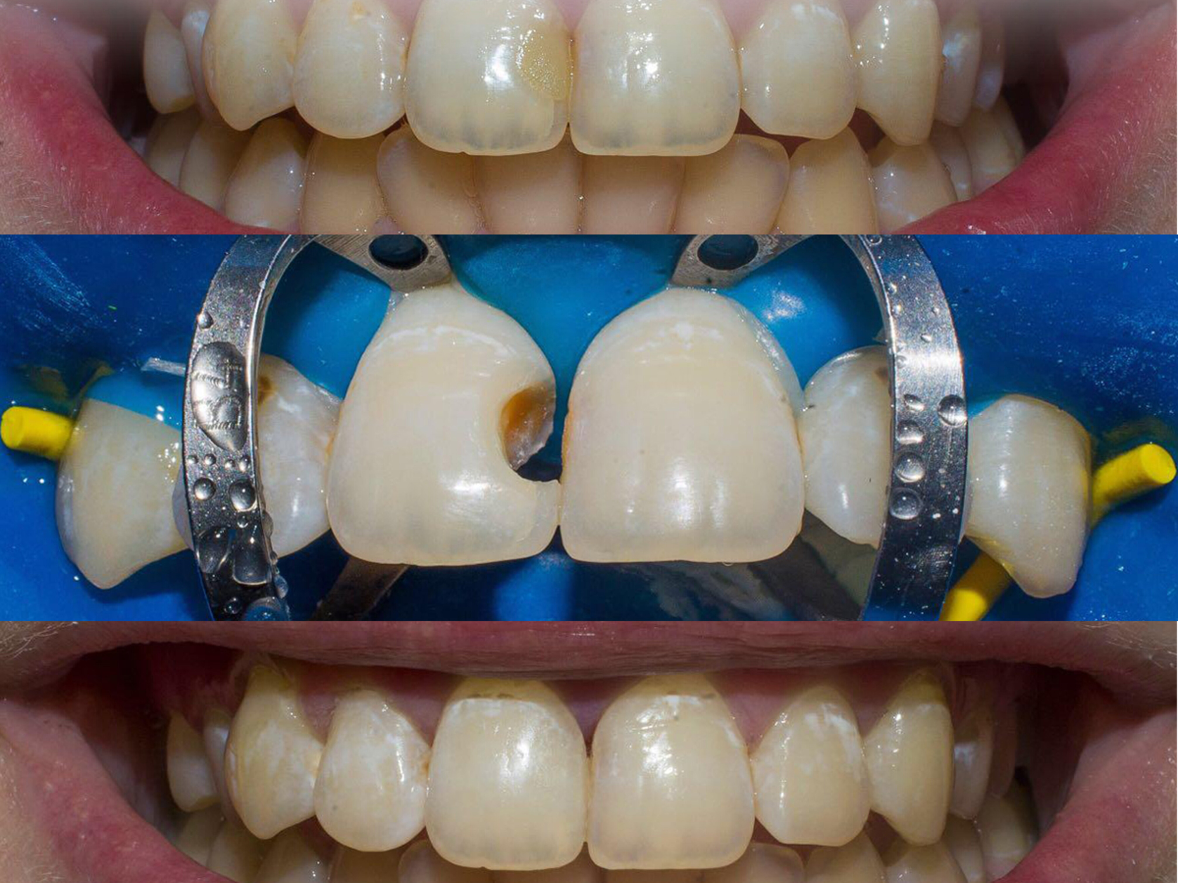
  • Лечение поверхностного кариеса инфильтрационным методом Icon
  • Постановка пломбы световой полимеризации (поверхностный кариес) (Filtek Z550)
  • Постановка пломбы световой полимеризации (средний кариес) (Filtek Z550)
  • Постановка пломбы световой полимеризации (глубокий  кариес) (Filtek Z550)
  • Изолирующая прокладка (Ionositt)
  • Лечебная прокладка (Vitrebond)
  • 1-но канальный зуб (механическая и медикаментозная обработка канала)
  • 1-но канальный зуб (пломбирование канала гуттаперчивыми штифтами)
  • 2-х канальный зуб (механическая и медикаментозная обработка каналов)
  • 2-х канальный зуб (пломбирование каналов гуттаперчивыми штифтами)
  • 3-х канальный зуб (механическая и медикаментозная обработка каналов)
  • 3-х канальный зуб (пломбирование каналов гуттаперчивыми штифтами)
  • Дополнительный или отдельный канал (механическая и медикаментозная обработка)
  • Дополнительный или отдельный канал (пломбирование канала гуттаперчивыми штифтами)
  • Временное пломбирование 1 ого канала лечебными препаратами
  • Повторная механическая и медикаментозная обработка каналов
  • Распломбирование 1-го канала, запломбированного цементом или резорцин-формалином
  • Распломбирование 1-го канала запломбированного гуттаперчей
  • Постановка временной пломбы
  • Лечение некариозных поражений тканей зуба с постановкой пломбы световой полимеризации
  • Использование Сofferdam
  • Использование Optra Gate
  • Штифт (углеродный, стекловолоконный)
  • Извлечение инородного тела из канала
  • Наложение девитализирующей пасты